美丽“攻薪计” OL俏佳人速美攻略
6月毕业季,6月职场晋升季——除了IQ、EQ,BQ美商(Beauty Quotient)成为热门话题。据美国当代家庭研究会一项报告显示,姣好的容貌可能让人从高中起就让人受益,并且受用一生。所以,如果能力足够,何不给外貌一点加工?
step1:初出茅庐
◆与外界的交流,除了语言,就是眼神。一双美丽而会说话的大眼睛,怎能不给你的职场沟通加分?
职场“攻薪计”:曙光阿尔法*美瞳

》》6月1日至30日:美眼项目全线8.5折!
◆短衣短裙的确更显Professional,然而,举手投足间露出的浓密毛发,却让人尴尬不已,千万不要让人在想起“犀利姐”的时候才能想起你。
职场“攻薪计”:冰点感低脱毛

》》6月1日至30日:冰点感低脱毛风暴价300元起!
Step2:白领进阶
◆朝天鼻让人感觉怯懦,鹰钩鼻使人感觉冷漠,肥厚的鼻头又给人蠢笨的感觉……千万别让不好的鼻型使人误解了你。
职场“攻薪计”:达拉斯综合隆鼻

》》6月1日至30日:美鼻项目全线8.5折!
◆痘痘可不是青春尚在的标志,高高低低的痘疤和红扑扑的痘印,只能显出你的稚嫩和粗糙。
职场“攻薪计”:“动力红蓝光”、“之心嫩肤”、“CO2点阵激光”

》》6月1日至30日:祛痘嫩肤全线8.5折!
Step3:跻身金领
◆“小姐,您今年有28岁吗?”当客户想要凭借你的皮肤猜测你的年龄时,你大可含蓄微笑做神秘状。不错,对于我们女孩来说,这可是一个secret。
职场“攻薪计”:玻尿酸【除皱、塑形、补水】 美国保妥适【除皱、瘦脸】

》》6月1日至30日:BOTOX面部除皱任意部位999元!
◆没有前凸后翘,哪敢昂挺胸?当“太平公主”变成了“美胸女王”,相信你的自信也会随着你的胸部提升到满意的高度。
职场“攻薪计”:曙光自然·美丰胸

》》6月1日至30日:丰胸项目全线8.5折!
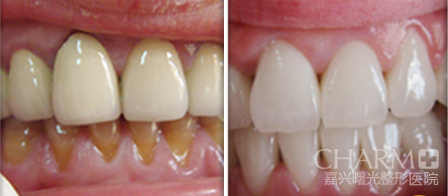
◆没有一口洁白皓齿,商务谈判、职场社交哪张得了嘴?还在为一口龅牙、黑牙、黄牙、色素牙烦恼?还在为一口铁齿钢牙自卑?医学美牙让自信在璀璨的笑容中绽放。
职场“攻薪计”:曙光牙齿隐形矫正 牙齿美白

》》6月1日至30日:牙齿隐形矫正月付 350元!牙齿美白特价980元/次